ulrich medical Wissen

Kundenstimmen: Atemkontrollgerät Contrast BoosterTM

Interview in der "radiologie | technologie" mit Dorina Petersen, MTR, Anwendungsspezialistin, Trainerin und Dozentin für CT und MRT

Sicht aus dem Kontrollraum in den Untersuchungsraum auf einem Patienten, bei dem ein Lungenembolie-CT mit dem Contrast Booster im Mund gemacht wird. | © 2025 ulrich medical. Alle Rechte vorbehalten. Die Verwendung, Vervielfältigung oder Weitergabe ohne ausdrückliche Genehmigung ist nicht gestattet.
Sicht aus dem Kontrollraum in den Untersuchungsraum auf einem Patienten, bei dem ein Lungenembolie-CT mit dem Contrast Booster im Mund gemacht wird. | © 2025 ulrich medical. Alle Rechte vorbehalten. Die Verwendung, Vervielfältigung oder Weitergabe ohne ausdrückliche Genehmigung ist nicht gestattet.

Frau Petersen, sind Patientinnen oder Patienten bei Verdacht auf Pulmonalembolie in der Lage, das Saugmanöver korrekt durchzuführen?

Der Verdacht auf Lungenembolie ist eine heikle Situation. Besonders, wenn der Verdacht einer Embolie sehr groß ist, so dass Patientinnen und Patienten unter starken Beschwerden, Atemnot und Angst leiden. Trotzdem gelingt den meisten das Saugmanöver gut. Wenn Patientinnen oder Patienten schon bei kleinster Anstrengung kaum Luft bekommen und zu kämpfen haben, funktioniert es nicht. Dann ist in der Regel auch das Standard-Atemkommando erfolglos.

Wie gut lässt sich der Contrast Booster bei Menschen mit eingeschränkter Kooperationsfähigkeit einsetzen, etwa bei älteren, nervösen oder nichtdeutschsprachigen Personen?

Auch bei eingeschränkter Kooperationsfähigkeit ist der Einsatz des Contrast Booster einen Versuch wert. Bei älteren Menschen, sofern sie geistig klar sind, muss man sich manchmal mehr Zeit nehmen, wenn der Einsatz erfolgreich sein soll. Die LED-Anzeige ist dafür gut geeignet, sie zeigt den Patientinnen und Patienten, welche Leuchte angehen soll und ist somit ohne viele Worte gut verständlich.

© 2025 ulrich medical. Alle Rechte vorbehalten. Die Verwendung, Vervielfältigung oder Weitergabe ohne ausdrückliche Genehmigung ist nicht gestattet.
© 2025 ulrich medical. Alle Rechte vorbehalten. Die Verwendung, Vervielfältigung oder Weitergabe ohne ausdrückliche Genehmigung ist nicht gestattet.

Aus meiner Sicht ist die Benutzerführung und die Bedienlogik des Contrast Boosters sehr gelungen.

Dorina Petersen, MTR, Anwendungsspezialistin, Trainerin und Dozentin für CT und MRT
Ein Patient hat den Contrast Booster von ulrich medical für eine Lungenembolie-CT-Untersuchung im Mund. | © 2025 ulrich medical. Alle Rechte vorbehalten. Die Verwendung, Vervielfältigung oder Weitergabe ohne ausdrückliche Genehmigung ist nicht gestattet.
Ein Patient hat den Contrast Booster von ulrich medical für eine Lungenembolie-CT-Untersuchung im Mund. | © 2025 ulrich medical. Alle Rechte vorbehalten. Die Verwendung, Vervielfältigung oder Weitergabe ohne ausdrückliche Genehmigung ist nicht gestattet.

Wie beurteilen Sie die Benutzerführung und die Bedienlogik des Contrast Boosters?

Aus meiner Sicht als Anwenderin und technisch versierte Person finde ich es sehr gelungen. Die Patientin oder der Patient hält ein kleines, leichtes Mundstück mit den Zähnen fest, umschließt es mit den Lippen und eine LED-Anzeige signalisiert, ob das Saugmanöver korrekt ausgeführt wird. Sehr gelungen ist, dass die Ladeschale, die im Schaltraum steht, die LED-Anzeige des Mundstücks spiegelt, so haben MTR auch aus der Ferne alles im Blick.

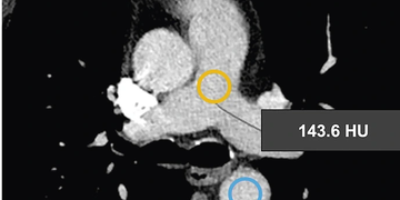
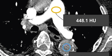
Die beiden nachfolgenden Monitoringbilder veranschaulichen deutlich den Unterschied der Kontrastierung beim Einsatz des Contrast Boosters.

Produktansicht der Contrast Booster Patienteneinheit, der Ladeschale und des Einwegmundstücks von ulrich medical. | © 2025 ulrich medical. Alle Rechte vorbehalten. Die Verwendung, Vervielfältigung oder Weitergabe ohne ausdrückliche Genehmigung ist nicht gestattet.

Download
ulrich medical Wissen

Sie möchten noch mehr über die Vorteile unseres Atemkontrollgeräts Contrast Booster erfahren? Dann laden Sie sich jetzt den vollständigen Artikel "Pulmonale Computertomographie - Nicht mehr ohne den Contrast  Booster!" aus der radiologie | technologie, Ausgabe 1/2026 herunter. 

© 2025 ulrich medical. Alle Rechte vorbehalten. Die Verwendung, Vervielfältigung oder Weitergabe ohne ausdrückliche Genehmigung ist nicht gestattet.
Wir wollen Sie im Fokus behalten.
Abonnieren Sie unseren Newsletter.
Laden
Laden
Laden